

Here at Sarko Dental Associates, we believe in giving the best of our skill and expertise to deliver excellent care with a personal touch. These cases show some of our best work, but more importantly, they each represent someone with more confidence, better health, and a better life ahead.


This patient was born without two permanent teeth and had previous dental work to address the issue years ago. However, as time passed, natural changes in his body led to gaps around the old restorations, creating both aesthetic, functional, and hygienic concerns. It was the perfect opportunity for a refresh. We reimagined his smile by redesigning and updating the front six teeth with carefully crafted restorations. The result? A seamless, natural-looking transformation—so precise that few would ever suspect he was missing teeth. What an incredible outcome!
Veneers are an amazing way to update the shape, size and shade of teeth. In both cases seen below, we were hoping to achieve a natural smile that they would be proud to show off. We took time to plan and design a look that catered them. Six Veneers were fabricated for each and transformed their smiles into a work of art.






We consider this a "camouflage case". Without doing any type of orthodontics, we masked the arch imperfections and idealized the teeth contours. This case consisted of 10 veneers on both the top and bottom to update the size, shape, and shade to give this patient the transformation she had always hoped for.
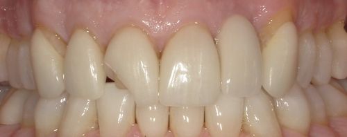
In one visit, we were able to fully repair an existing crown for this patient. This two-step process fixed the decade-old crown that had started to decay near the gum tissue.
The final photo shows the new crown that matches the old dentistry extremely well.


Crown removal, decay removal, and refining the crown prep.

The crown is designed and milled to match the shape and contour of the other front tooth. After a quick fit check, it is glazed and fully crystallized to match beautifully.

A previous car accident caused many of this patient's teeth to shift. She was unhappy with positioning, shade, and the matte texture that her front right tooth presented with. Unfortunately, orthodontics was not an option for her so we camouflaged the discrepancy as best we could. Four veneers were placed on the top followed by six on the bottom. Overall, our patient was thrilled with the result we achieved.


This patient came to our office for a second opinion and guidance through a tough situation. Externally, when this patient smiled, things looked great. But when we looked closer, we had multiple hurdles to tackle to get this patient functioning properly. She had multiple implants placed in Argentina that were failing, and other nonrestorable teeth. To give her a smile that she could be confident with, we did a complete overhaul. All old dentistry was removed, and four new implants were placed on both her top and bottom arch. Attached to these implants were zirconia hybrid dentures. This patient never went a day without teeth fixed in her mouth. She continues to tell me about the compliments she receives and loves both the beauty and function of her new smile.


After having veneers done years ago, this patient came to us for a little refresh. She felt as though her veneers had dulled with time, shifted position, and hated the staining present on her lower teeth. We ended up redoing 6 veneers on top and did 8 new veneers on the bottom. Our patient was thrilled with the final results.




Its always upsetting when a patient breaks a tooth. Its even worse when the tooth breaks in a manner that cannot be saved. We decided to use this unfortunate event to completely redo our patient's smile. He wanted a look that he could be proud of and that would function well for years to come. After implant placement, we fabricated him one implant crown and 5 veneers to match. He requested some inconsistencies in the edges to mimic nature and was thrilled to confidently smile once again.
Sometimes pictures speak for themselves. This patient presented with a fractured front right tooth that unfortunately we could not save. Upon further examination, she had multiple other old crowns that were cracking as well. We knew they had a limited lifespan left. We decided to refresh the entire front that consisted of four crowns and two implant crowns. Can you guess which is her other implant?


For years, this patient didn't enjoy smiling. After having two crowns done on her top right side, she decided that she was finally ready to make a cosmetic change. She wanted her smile to look more pleasing, but in an age appropriate manner. A shade was selected that wouldn't raise eyebrows and flowed with her adjacent teeth. She even requested we keep the small space in between her front two teeth. This entire case was completed in one visit and consisted of two crowns and six veneers. All were fabricated in office while the patient relaxed and read a good book.


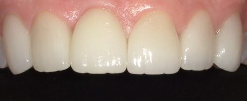
Crowns are incredibly strong, but don't always last forever. This patient's crowns were over a decade old before one fractured. In one visit, we were able to fabricate a permanent crown that matched old with new for a seamless result.


Call (480) 951-2782 or request an appointment online to set up your first visit. We’ll be in touch soon.